ΦΡΑΓΚΟΥΛΗ ΜΑΡΓΑΡΙΤΑ

Ηλία Βενέζη 1, 12461, Χαϊδάρι

ΦΡΑΓΚΟΥΛΗ ΜΑΡΓΑΡΙΤΑ


Ηλία Βενέζη 1
12461, Χαϊδάρι


Εταιρικό προφίλ

Οδοντίατρος |Αισθητική Οδοντιατρική 


Περιγραφή Υπηρεσιών
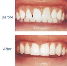
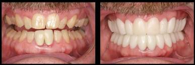
Οδοντίατρος |Αισθητική Οδοντιατρική |Επανορθωτική Οδοντιατρική |Καθαρισμός δοντιών | Λεύκανση δοντιών |Εμφυτεύματα 
Γιατί να μας προτιμήσετε

Υπ. Διδάκτωρ Πανεπιστημίου Αθηνών

Master στα Βιοϋλικά

Μεταπτυχιακό στην Εξειδίκευση Επανορθωτική Οδοντιατρική

Επιστημονικός Συνεργάτης Πανεπιστημίου Αθηνών


Δεν υπάρχουν προσφορές ...

Φωτογραφίες

Ωράριο Λειτουργίας

Δευτέρα09:00 – 21:00
ΤρίτηΚλειστά
Τετάρτη09:00 – 21:00
ΠέμπτηΚλειστά
Παρασκευή09:00 – 21:00
ΣάββατοΚλειστά
ΚυριακήΚλειστά

Στείλε μήνυμα

Επικοινωνήστε με την επιχείρηση

Χάρτης